Ultrasound
Veterinary ultrasound uses high-frequency sound waves to create detailed images of the internal structures within an animal's body. Unlike X-rays, which are best for viewing bones and dense tissues, ultrasound is particularly effective for imaging soft tissues and fluid-filled structures. Ultrasound is useful for assessing the following organs:
- Liver and Gallbladder
- Spleen
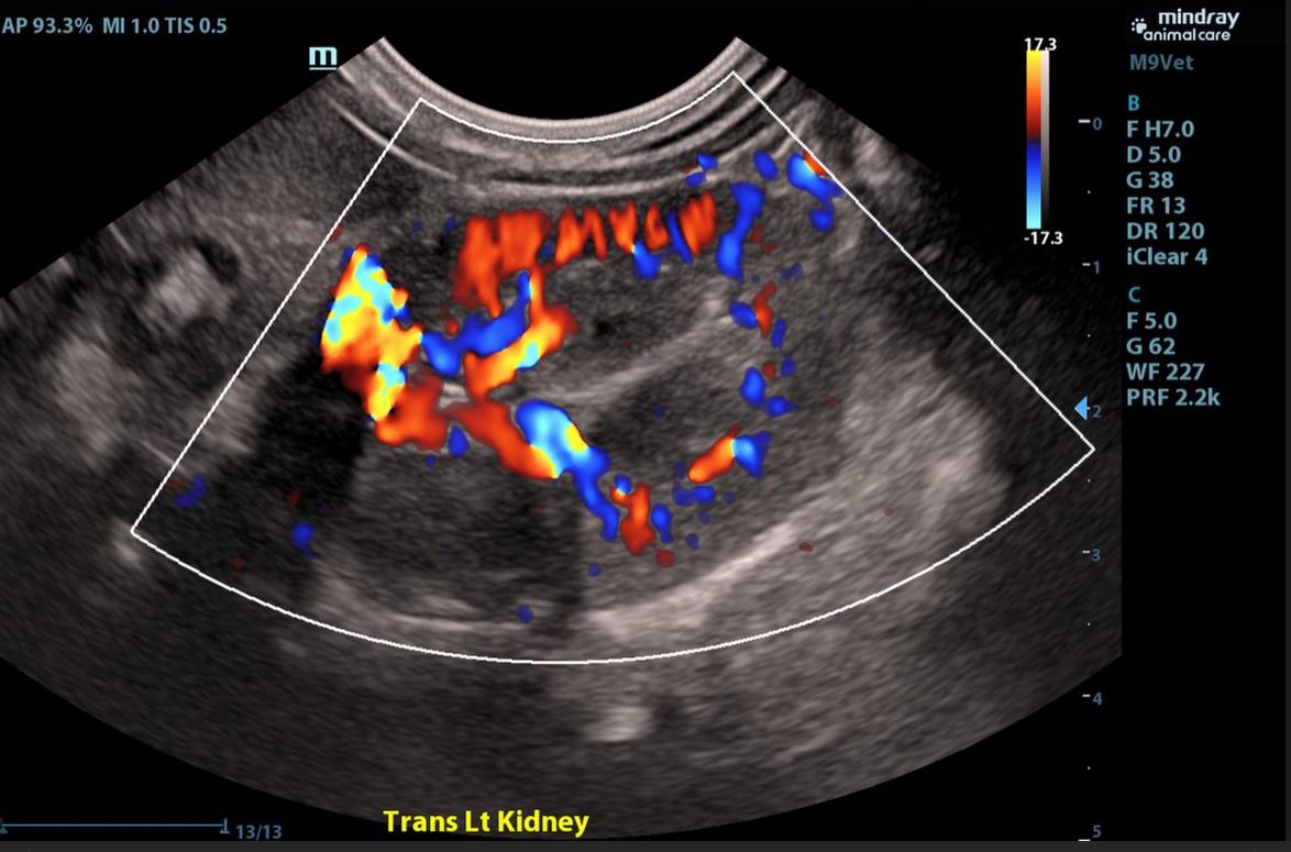
- Kidneys and Urinary Bladder
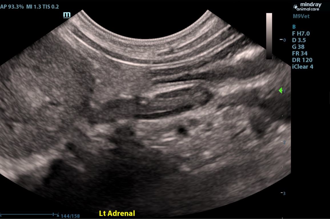
- Adrenals
- Pancreas
- Stomach and Intestines
- Heart (echocardiograms)
What to expect
In preparation for your pet’s appointment, please follow all directions:
• Your pet may eat normally until 8 pm the evening before the visit.
• No food may be given after 8 pm, but you may offer water to your pet.
• Give your pet the prescribed evening pre-medication ordered by your veterinarian.
• Discuss your pet’s current medication regimen with your veterinarian and modify based on their recommendations.
Day of visit:
• One hour prior to your pet’s scheduled appointment, please give the prescribed premedication; you may give this in a small treat if necessary
• Check in 15 minutes prior to your scheduled appointment at the reception desk.
• You will be greeted by a clinical veterinary student who will confirm premedication compliance.
During the visit:
• Although ultrasound imaging is non-invasive and non-painful, pets may need additional medication to help them relax.
• Expect that your pet will have their hair shaved in areas needed for the ultrasound to ensure adequate diagnostic imaging.
• The ultrasound exam takes 1.5-2 hours. You may wait in our lobby or we can call you when the exam is complete.
• Payment is due in full at the time of the visit. We accept cash, credit cards, and Care Credit.
After the visit:
• Your pet may be sleepy following the procedure. This is normal as the pre-medications need time to be metabolized by the body.
• If you pet is unsteady on their feet, confine them to a small carpeted area and leash walk only.
• You may offer water immediately and food can be given within 2-4 hours.
• Administer any medications your current veterinarian recommends.
• Reports will be sent to your veterinarian in 24-72 hours.
Requirements for submitting an outpatient ultrasound request
- Outpatient echocardiograms must be requested by a veterinarian. If you are an owner please contact your primary veterinarian to request the echocardiogram.
- All forms must be filled out completely for the echocardiogram to be scheduled.
- Writing, “See attached history” is not sufficient and will not be accepted on the History portion of the outpatient request form. Patient history should be filled out by the requesting veterinarian. It should include the reason for the exam, and information that the requesting veterinarian wants the radiologist or cardiologist to consider while writing the report. The patient history portion of the request form is submitted to the radiology/cardiology reading service.
- The requesting veterinarian must fill out the sedation portion of the request form, specifically the question: 'Do you have any concerns with this patient having light sedation in addition to pre-medications (such as butorphanol, dexmedetomidine, alfaxalone, etc.)?'
- Patients should be in stable condition. If the patient is unstable or decompensating we are going to suggest you refer them to the Emergency room.
Types of outpatient ultrasound we offer
- Abdominal ultrasound
- Echocardiograms
Request form
Ordering Veterinarian Information and Instructions
Ultrasound Information and Services


