SERVICES
Radiography
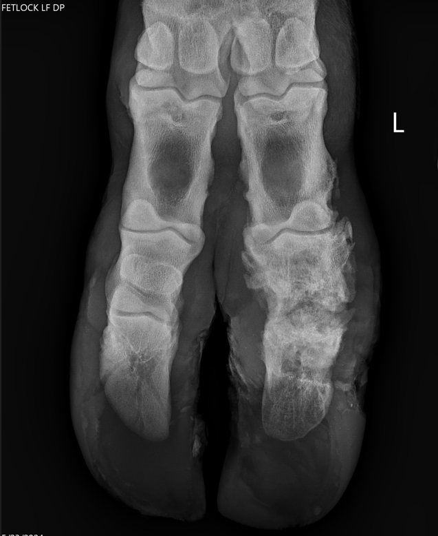
Veterinary radiography (also known as x-rays) provides an in-depth, noninvasive way to image the bones and internal organs of animals. These radiographs help veterinarians diagnose and monitor various conditions, such as bone fractures, dental issues, and internal organ problems.
The process involves positioning the animal and capturing images that can reveal abnormalities
and guide treatment decisions. Veterinary radiography is a critical tool for providing accurate and effective care to animals.





