Echocardiograms
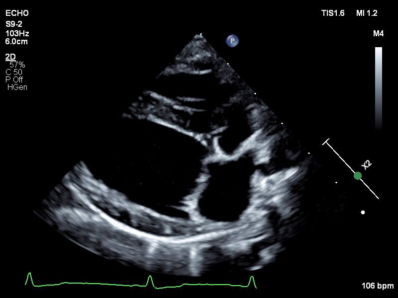
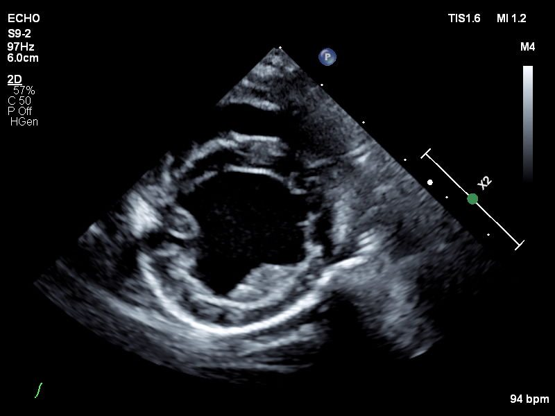
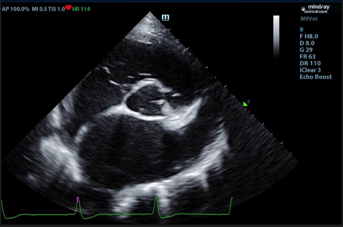
Veterinary echocardiography is a type of ultrasound imaging that focuses on the heart.
Echocardiography assesses the structure and function of an animal's heart. This non-invasive
procedure employs ultrasound technology to produce detailed, real-time images of the
heart's chambers, valves, and blood flow. Echocardiography is essential for diagnosing
and monitoring heart conditions such as heart murmurs, cardiomyopathy, and valve disorders.
It helps veterinarians evaluate the severity of heart disease, guide treatment decisions,
and monitor the effectiveness of therapies, all while ensuring the animal's comfort
and safety.
Small Animal Echocardiogram Outpatient Ultrasound RequestOrdering Veterinarian Information and Instructions
Ultrasound Information and Services
What to expect
- We do request that food be withheld by 8pm the night before the echocardiogram. Patients can have access to water and can take a small amount of food for their medications.
- If your pet is receiving an echocardiogram from our department they may be given medication for anxiety and/or sedated prior to their imaging.
- In order to obtain the best images possible, your pet may be shaved in the areas that we are scanning.
- Ultrasound gel is applied to the patient to obtain our images. Patients will be wiped off after the ultrasound but may still be damp.
- Outpatient appointments typically take about 1-2 hours depending on the patient’s sedation needs.
- Outpatient reports are sent to the veterinarian that requested the ultrasound within approximately 72 hours.
Requirements for submitting an outpatient ultrasound request
- Outpatient echocardiograms must be requested by a veterinarian. If you are an owner please contact your primary veterinarian to request the echocardiogram.
- All forms must be filled out completely for the echocardiogram to be scheduled.
- Writing, “See attached history” is not sufficient and will not be accepted on the History portion of the outpatient request form. Patient history should be filled out by the requesting veterinarian. It should include the reason for the exam, and information that the requesting veterinarian wants the radiologist or cardiologist to consider while writing the report. The patient history portion of the request form is submitted to the radiology/cardiology reading service.
- The requesting veterinarian must fill out the sedation portion of the request form, specifically the question: 'Do you have any concerns with this patient having light sedation in addition to pre-medications (such as butorphanol, dexmedetomidine, alfaxalone, etc.)?'
- Patients should be in stable condition. If the patient is unstable or decompensating we are going to suggest you refer them to the Emergency room.
Types of outpatient ultrasound we offer
- Abdominal ultrasound
- Echocardiograms


